Bệnh Sùi Mào Gà

Khám Chữa Bệnh Sùi Mào Gà Online – Bác Sĩ Chuyên Khoa Tư Vấn Miễn...
Tư vấn y khoa: Bs Đặng Tuấn Trình
Bệnh sùi mào gà có thể gây ra nhiều biến chứng nguy hiểm nếu không được phát hiện và điều trị kịp thời. Chính vì thế khi phát hiện có những biểu hiện bất thường ở vùng kín như nổi mụn, ra nhiều khí hư, ngứa ngáy khó chịu,... bạn...
Bác Sĩ Tư Vấn Hiện Tượng Dương Vật Bị Chảy Mủ Ở Nam Giới
Tư vấn y khoa: Bs Lê Đỗ Nguyên
Dương vật chảy mủ? Dương vật có mủ? Mủ trắng, mủ xanh vàng, xuất hiện nhiều vào sáng sớm ban mai gây khó chịu, ngứa ngáy... là những triệu chứng bất thường mà rất nhiều nam giới gặp phải. Đây là biểu hiện của bệnh lý gì, nguyên nhân do...
Địa Chỉ Khám Chữa Sùi Mào Gà Chất Lượng Uy Tín Nhất Tại Hà Nội
Tư vấn y khoa: Bs Đặng Tuấn Trình
Đối với mỗi cơ sở y tế, ngoài chất lượng thăm khám, chi phí cũng yếu tố được quan tâm hàng đầu. Tuy nhiên, trước thực trạng có quá nhiều các cơ sở y tế, nhiều người tỏ ra lo lắng không biết nên khám chữa sùi mào gà ở...
Bác Sĩ Chuyên Khoa Tư Vấn Sử Dụng Thuốc Bôi Chữa Sùi Mào Gà
Tư vấn y khoa: Bs Đặng Tuấn Trình
Sùi mào gà khó điều trị, dễ tái phát và có nguy cơ biến chứng ung thư nếu mắc phải virus HPV tuýp 16 và 18. Vậy có nên sử dụng thuốc bôi sùi mào gà không? Bác sĩ chuyên khoa bệnh viện Da liễu sẽ tư vấn và giải...
Top 10 Bệnh Viện, Phòng Khám Chuyên Khám Chữa Bệnh Sùi Mào Gà Uy Tín...
Tư vấn y khoa: Bs Đặng Tuấn Trình
Đâu là địa chỉ khám chữa bệnh sùi mào gà uy tín, tốt nhất Hà Nội là thắc mắc của khá nhiều người bệnh khi có những triệu chứng bất thường nghi ngờ bị sùi mào gà. Bài viết này sẽ tổng hợp Top 10 bệnh viện, phòng khám chuyên...
Bảng giá khám chữa bệnh xã hội tại Phòng khám Đa khoa Quốc tế Hà...
Tư vấn y khoa: Bs Đặng Tuấn Trình
Đối với mỗi cơ sở y tế, ngoài chất lượng khám chữa bệnh, chi phí cũng là yếu tố được quan tâm hàng đầu. Vậy tại một phòng khám uy tín với đội ngũ các bác sĩ chuyên khoa giỏi, cùng chất lượng dịch vụ tiêu chuẩn quốc tế như...
Xét nghiệm nước tiểu
Tư vấn y khoa: Bs Lê Đỗ Nguyên
Bên cạnh xét nghiệm máu, xét nghiệm mẫu bệnh phẩm…thì xét nghiệm nước tiểu là một trong những kỹ thuật chẩn đoán và tìm ra nguyên nhân gây bệnh thường được áp dụng. Vậy xét nghiệm nước tiểu có tác dụng gì? Mời các bạn theo dõi bài viết dưới...
Xét nghiệm chlamydia là gì? Quy trình và chi phí
Tư vấn y khoa: Bs Đặng Tuấn Trình
Xét nghiệm Chlamydia là một phương pháp để chẩn đoán bệnh nhanh và chính xác nhất. Bệnh này lây truyền qua đường tình dục (STD) thường gặp, gây ra bởi vi khuẩn Chlamydia trachomatis. Mặc dù triệu chứng của nhiễm Chlamydia thường nhẹ hoặc không hiện diện, bệnh vẫn có...
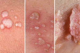
Nhận biết dấu hiệu bệnh sùi mào gà qua hình ảnh thực tế
Tư vấn y khoa: Bs Lê Đỗ Nguyên
Sùi mào gà là một bệnh do Human papilloma virus (HPV) gây ra trên cơ thể người, lây truyền qua đường tình dục, vết thương hở, từ mẹ sang con khi sinh thường. Bệnh có biểu hiện đặc trưng là tình trạng mụn thịt bề mặt xù xì, ẩm ướt,...
Khám chữa sùi mào gà bạn cần biết
Tư vấn y khoa: Bs Đặng Tuấn Trình
Hiện nay, tỷ lệ bệnh nhân bị lây nhiễm sùi mào gà đang ngày một gia tăng, đặc biệt là trong giới trẻ. Căn bệnh này không dễ để chữa trị, đặc biệt nếu phát hiện muộn còn có thể dẫn tới nhiều biến chứng nguy hiểm đối với sức...








